Friedensdorfkind zur Behandlung am Marienstift
„Maria hat das schlimmste Stadium dieser Erkrankung“, sagt Dr. med. Christine Bollmann, Chefärztin der Klinik für Kinderorthopädie am Marienstift Arnstadt, bedauernd. Schon 2019 war die heute zehnjährige Maria aus Angola Patientin an der Fachklinik für Orthopädie. Nun ist sie wieder zur OP da – vermittelt über das Friedensdorf International in Oberhausen.
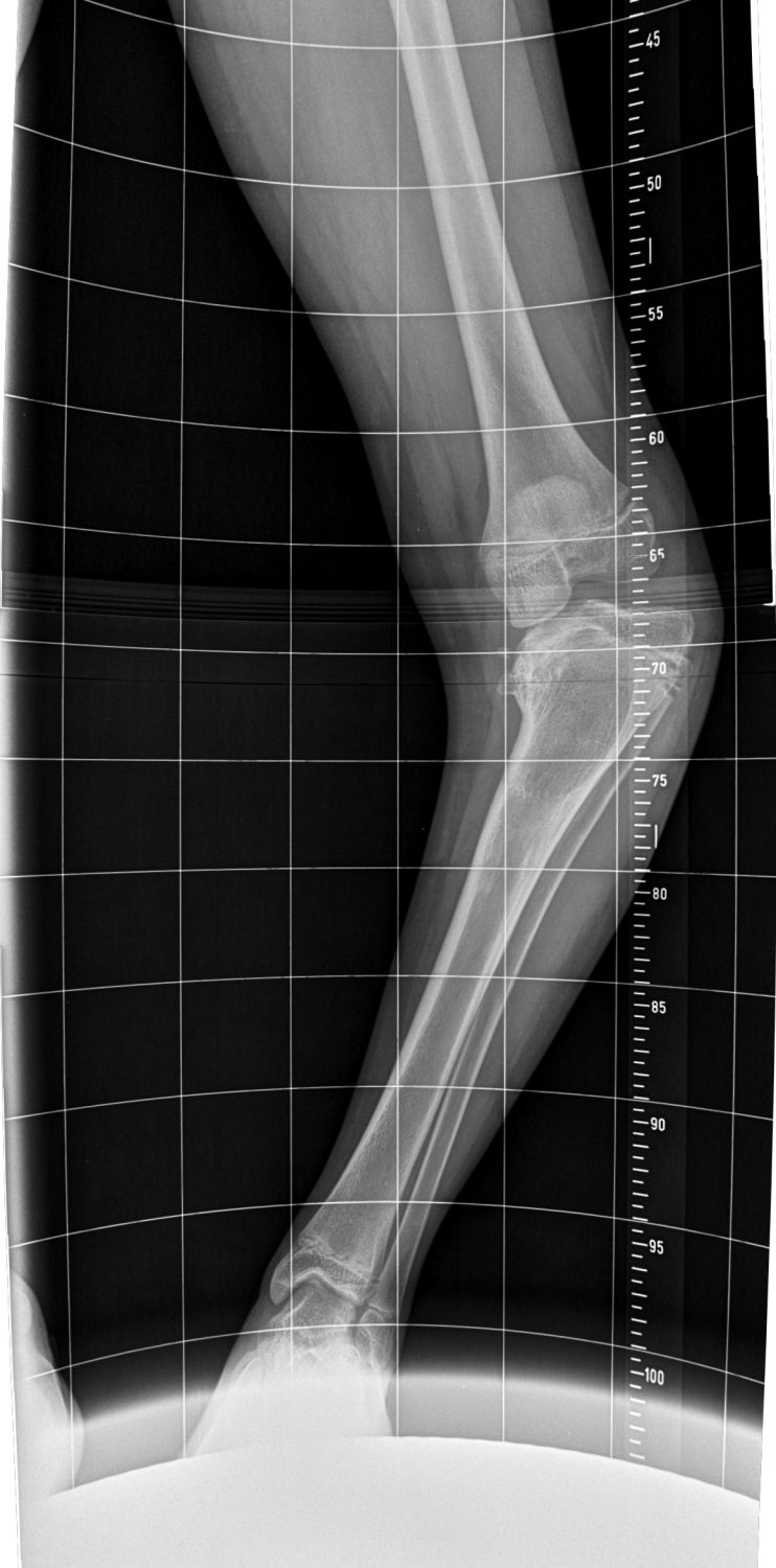
Maria leidet an Morbus Blount, einer knöchernen Wachstumsstörung im Schienbein. Betroffene entwickeln O-Beine – bei Maria sind diese extrem ausgeprägt.
Ohne Behandlung könnte das Mädchen irgendwann nicht mehr laufen. 2019 begradigten Chefärztin Christine Bollmann und ihr Team zunächst das rechte Bein und stabilisierten es mit einer Spezialplatte. Noch im gleichen Jahr folgte das linke Bein. „Wir hatten gehofft, dass sich die Wachstumsfuge erholt und Marias Beine gerade weiterwachsen. Dies hat sich leider nicht bestätigt“, so Dr. Bollmann. Mit fortschreitendem Wachstum wurden Marias Beine wieder krumm. „Hätten wir damals noch abgewartet, könnte sie heute gar nicht mehr laufen, dann wären die Knie längst kaputt.“
„Wir hatten schon andere schwere Fälle dieser Erkrankung, bei denen sich das komplette Knieplateau erholte. Anders bei Maria, die diese extreme Ausprägung hat.“
Diesen Herbst wurden Marias Unterschenkel erneut begradigt. In einer ersten Operation wurden eine komplexe Achskorrektur des Unterschenkels und eine Stabilisierung des Knochens durch eine Platte vorgenommen. Die Wachstumsfuge im Unterschenkel wurde dabei zusätzlich verödet werden, damit die Beine nicht noch einmal schief werden.
In der folgenden Operation wurde das zweite Bein ebenfalls korrigiert. Nun war Marie erneut im Marienstift: Zur Mobilisation und Orthesenanpassung. Zwischen den Behandlungsphasen bleibt Maria im Friedensdorf, fernab der Heimat. „Bei guter Heilung und Mobilisation kann sie im Frühjahr 2024 nach Hause“, sagen Dr. med. Jens Raabe und Dr. med. Daniel Herz, Oberärzte an der Klinik für Kinderorthopädie des Marienstifts.
Seit 1998 behandelt das Marienstift jährlich ein vom Friedensdorf International vermitteltes Kind unentgeltlich. Hersteller und Orthopädietechniker, in diesem Fall BOS und Orthopediatrics, stellen die notwendigen Implantate und Orthesen zur Verfügung.
Der Verein Friedensdorf International organisiert seit 1967 Hilfsprojekte in Kriegs- und Krisengebieten und vermittelt Kinder, denen vor Ort nicht geholfen werden könnte, an geeignete Kliniken.


